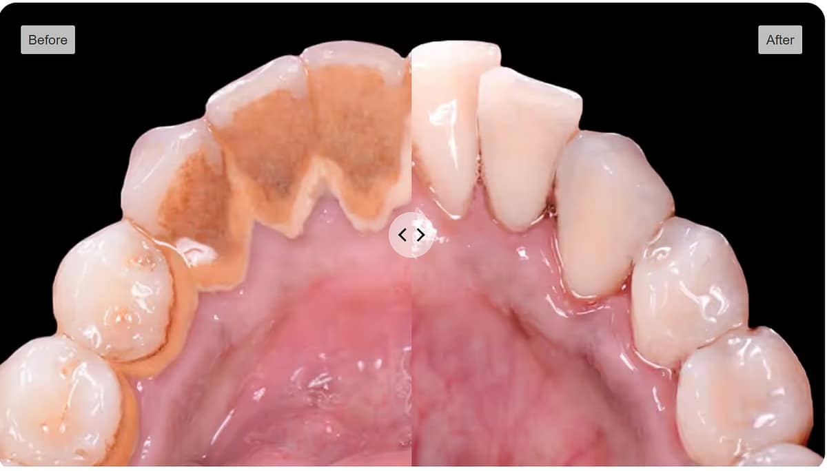
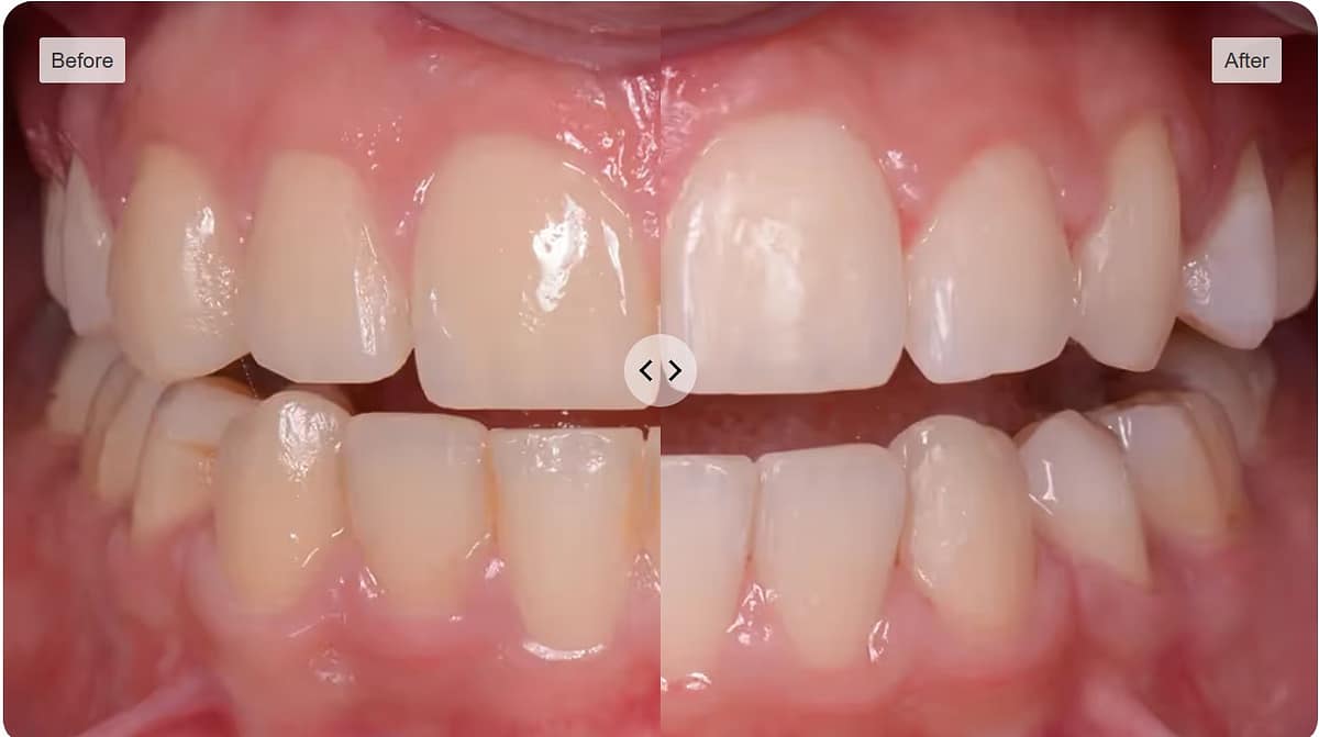
Before and After Guided Biofilm Therapy (GBT)
These examples illustrate the typical progression during Guided Biofilm Therapy:
- Before treatment: Biofilm (plaque) and stains are present on the tooth surfaces.
- After disclosing dye: A special dye highlights the bacterial biofilm so the clinician and patient can see exactly where plaque is located.
- Airflow cleaning: A stream of warm water, air, and fine powder removes the biofilm and stains.
- After treatment: Teeth appear cleaner, smoother, and brighter with the bacterial layer removed.
Dental biofilm is a thin layer of bacteria that forms naturally on teeth. If not removed regularly, it contributes to cavities, gum inflammation, and periodontal disease. Guided Biofilm Therapy is designed to remove this bacterial layer in a precise and minimally invasive way




How Guided Biofilm Therapy Works
Guided Biofilm Therapy follows a systematic protocol that targets bacterial biofilm first and removes calculus only where necessary.
1. Examination and Assessment
The dentist or hygienist first evaluates the teeth, gums, and implants to determine where biofilm and calculus may be present. This helps personalize the treatment.
2. Biofilm Disclosure (Visualization)
A harmless dye is applied to the teeth to stain bacterial plaque.
- Pink areas indicate newer plaque
- Blue areas indicate older biofilm buildup
This step makes the bacteria visible so the cleaning can be targeted precisely.
3. Airflow Biofilm Removal
The clinician uses an air-polishing handpiece that sprays:
- Warm water
- Air
- Ultra-fine erythritol powder
This combination gently removes plaque and stains from teeth, restorations, and even below the gumline.
4. Perioflow for Gum Pockets
If needed, a special nozzle called Perioflow cleans deeper gum pockets where bacteria accumulate in periodontal disease.
5. Targeted Calculus Removal
After biofilm is removed, hardened tartar becomes easier to identify. Ultrasonic instruments may then be used only where necessary, rather than scraping every tooth.
6. Final Check
The dentist or hygienist confirms that all plaque and calculus have been removed and reviews oral hygiene instructions with the patient.
Why GBT Produces a Better Cleaning
Guided Biofilm Therapy improves traditional cleanings because it focuses on the root cause of dental disease: bacteria.
Benefits include:
✔ More thorough removal of plaque and biofilm
✔ Reduced tooth sensitivity compared with traditional scraping
✔ Safe for veneers, implants, crowns, and orthodontics
✔ Removes surface stains for a brighter smile
✔ Minimally invasive and comfortable for patients
Because the biofilm is visually highlighted before cleaning, clinicians can ensure no areas of bacterial plaque are missed, making the cleaning more precise and effective.
Watch Guided Biofilm Therapy in Action
This video shows how the airflow technology removes plaque and stains using air, water, and powder while minimizing the need for scraping.

✅ Summary
Guided Biofilm Therapy represents a modern approach to preventive dentistry. By identifying and removing bacterial biofilm with airflow technology, dentists can provide a more comfortable and thorough cleaning while protecting enamel and reducing gum inflammation.
✔ If you’d like, I can also help you create a polished article for your website that includes Dr. Balaes offering Guided Biofilm Therapy, plus SEO headings and optimized patient education sections.
